You must first be logged in to edit a post.
If you are not registered, please click "Create Account".
| Posted By |
Message |
aidamarie
My Precious Angel

Member since 9/05 1093 total posts
Name: Aidamarie
|
We are having a ................
babygirl:
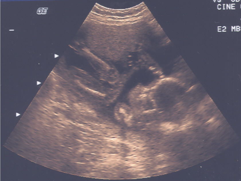
We went for the Level II today 21 weeks and 4 days so far, i was so releived to see the baby moving so much because i havent felt any movements at all. I was so scared. It was the cutest thing, she looked like she was excercising in there doing the bicycle or something, In the sonogram pic you can see her legs spread open, her toe is touching her head it and she kept switching legs it was soooo funny. Image Attachment(s):
Message edited 12/21/2005 9:35:11 PM.
|
Posted 12/21/05 9:32 PM |
| |
|
Long Island Weddings
Long Island's Largest Bridal Resource |
btrflygrl
me and baby #3!

Member since 5/05 12013 total posts
Name: Shana
|
Re: We are having a ................
congrats!! Welcome to the Princess Club!!!
|
Posted 12/21/05 9:34 PM |
| |
|
CheeChee
HI THERE!!!!

Member since 5/05 3416 total posts
Name:
|
Re: We are having a ................
Congrats on your baby girl!!!
|
Posted 12/21/05 9:36 PM |
| |
|
mishy
My Girls

Member since 10/05 2427 total posts
Name:
|
Re: We are having a ................
Congrats!!!
|
Posted 12/21/05 9:37 PM |
| |
|
babydream
LIF Infant
Member since 10/05 97 total posts
Name: Laurie
|
Re: We are having a ................
Congrats on your little girl!
|
Posted 12/21/05 9:55 PM |
| |
|
dee7772
My Loves

Member since 5/05 4852 total posts
Name:
|
Re: We are having a ................
Congratulations. What a great sono picture.
|
Posted 12/21/05 10:01 PM |
| |
|
Briannasmommy
Love her so much <3

Member since 5/05 15567 total posts
Name: Christina
|
Re: We are having a ................
congrats
|
Posted 12/21/05 10:47 PM |
| |
|
neenie

Member since 5/05 22351 total posts
Name:
|
Re: We are having a ................
Congrats!!!
|
Posted 12/21/05 11:01 PM |
| |
|
Faithx2
All good things in 2016!!

Member since 8/05 20181 total posts
Name:
|
Re: We are having a ................
Welcome to the PINK team
|
Posted 12/22/05 5:10 AM |
| |
|
DebG
Pick a cause & stand up for it

Member since 5/05 18602 total posts
Name: The cure IS worse!
|
Re: We are having a ................
Congrats!!!!!
|
Posted 12/22/05 5:43 AM |
| |
|
Bran-loves-Tom
Dad you finally did it!!!

Member since 10/05 1714 total posts
Name: Brandy
|
Re: We are having a ................
Congrats on your little
|
Posted 12/22/05 6:13 AM |
| |
|
dld4e
I ♥ my boys!

Member since 5/05 4461 total posts
Name: DJ
|
Re: We are having a ................
Awww great pic! Glad all is well with you little
|
Posted 12/22/05 6:27 AM |
| |
|
Shelly
She's 7!!!

Member since 8/05 14624 total posts
Name:
|
Re: We are having a ................
Congrats!! Welcome to the club!!
|
Posted 12/22/05 9:59 AM |
| |
|
Sharon
So Big... So Fast!

Member since 5/05 2959 total posts
Name:
|
Re: We are having a ................
Congrats!!!!
|
Posted 12/22/05 10:18 AM |
| |
|
twobabies
Praying

Member since 7/05 9662 total posts
Name: Mrs. Honeybee
|
Re: We are having a ................
congrats!!!
|
Posted 12/22/05 10:33 AM |
| |
|
Kate
*****
Member since 5/05 7557 total posts
Name: Kate
|
Re: We are having a ................
Congrats!!!
|
Posted 12/22/05 11:00 AM |
| |
|
LuvMy2Girls
@>---------

Member since 5/05 11165 total posts
Name: Mommy
|
Re: We are having a ................
Congratulations on your baby girl
Welcome to the girls club!
|
Posted 12/22/05 11:06 AM |
| |
|
MrsJ
I love my Katie Bug

Member since 5/05 11357 total posts
Name: Kathy
|
Re: We are having a ................
Congrats and great pic!
|
Posted 12/22/05 11:48 AM |
| |
|
LIMOMx2
...
Member since 5/05 24989 total posts
Name:
|
Re: We are having a ................
Congrats!!! I can't wait to find out
|
Posted 12/22/05 4:37 PM |
| |
|
mskimmy98
My twins are one!!!

Member since 5/05 2540 total posts
Name: Kimberly
|
Re: We are having a ................
Congrats
|
Posted 12/22/05 4:47 PM |
| |
|
Kotka
Mom to two boys :)
Member since 5/05 3384 total posts
Name: Jola (pronounced Yola)
|
Re: We are having a ................
Congratulations
Looks like she will be really athletic
|
Posted 12/22/05 5:32 PM |
| |
|
Spring Baby06
My two loves

Member since 5/05 3612 total posts
Name: Jillian
|
Re: We are having a ................
Yay!!!!!! There sure are a lot of little girls coming into our lives! Congrats!
|
Posted 12/22/05 6:39 PM |
| |
|
MrsBumbleb
it's me

Member since 5/05 11234 total posts
Name: Christine
|
Re: We are having a ................
Congrats
|
Posted 12/22/05 7:11 PM |
| |
|
Crazeddiva
LIF Adolescent
Member since 5/05 588 total posts
Name: Maddy
|
Re: We are having a ................
To cute. Congrats !!!!
|
Posted 12/23/05 8:16 AM |
| |
|
Moehick
Ready for the sun!

Member since 5/05 30339 total posts
Name: Properly perfect™
|
Re: We are having a ................
Much congratulations on your
|
Posted 12/23/05 11:00 AM |
| |
|