| Posted By |
Message |
| Pages: [1] 2 |
jar823
LIF Infant

Member since 7/05 231 total posts
Name: Jennifer
|
It's TWINS!
Remember I posted that my brother and his wife were having a baby?
Well, I found out this week, that it's TWINS!!!!!! How exciting!
This is going to be neice or nephew #5 & #6 on my side of the family! My family is so darn fertile!
At least this is going to buy me some time before my family starts bugging me to have kids! I am so happy for my brother and his wife! They weren't even sure if they could have children without dipping into my brother's frozen sperm! Sorry if this is TMI! My brother had cancer and went through Kemo & Radiation treatments! He has been in remission for 3 years though!
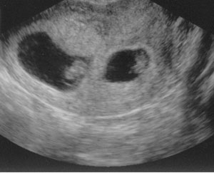
Here is a pic of the first Sonogram (SP?) Image Attachment(s):
|
Posted 10/28/05 10:49 AM |
| |
|
Long Island Weddings
Long Island's Largest Bridal Resource |
LAMGAJ28
.
Member since 10/05 6039 total posts
Name:
|
Re: It's TWINS!
OMG...that's awesome! Congrats to them and to you as well....
|
Posted 10/28/05 10:55 AM |
| |
|
momAGAIN
so outrageous

Member since 7/05 3853 total posts
Name: TJ
|
Re: It's TWINS!
awwwww congrats!!!! love that pic so cute!
|
Posted 10/28/05 11:25 AM |
| |
|
Briannasmommy
Love her so much <3

Member since 5/05 15567 total posts
Name: Christina
|
Re: It's TWINS!
aww that is so cute congrats
|
Posted 10/28/05 12:36 PM |
| |
|
Janice
Sweet Jessie Quinn

Member since 5/05 27567 total posts
Name: Janice
|
Re: It's TWINS!
congrats!!!
|
Posted 10/28/05 1:17 PM |
| |
|
Shanti
True love

Member since 6/05 12653 total posts
Name:
|
Re: It's TWINS!
|
Posted 10/29/05 8:18 AM |
| |
|
edsprincess
LIF Zygote

Member since 10/05 14 total posts
Name: Aimee
|
Re: It's TWINS!
|
Posted 10/29/05 10:17 AM |
| |
|
SoinLove
Making big changes

Member since 5/05 16541 total posts
Name: Kristin
|
Re: It's TWINS!
How exciting!
|
Posted 10/29/05 10:43 AM |
| |
|
Diane
Hope is Contagious....catch it

Member since 5/05 30683 total posts
Name: D
|
Re: It's TWINS!
That is GREAT....Congrats!!!!!!
|
Posted 10/29/05 11:42 AM |
| |
|
peabody
Love green icing!!!

Member since 5/05 4691 total posts
Name:
|
Re: It's TWINS!
AWESOME!!!!!
|
Posted 10/29/05 1:58 PM |
| |
|
steph4777
**************
Member since 5/05 11726 total posts
Name: Stephanie
|
Re: It's TWINS!
Congrats!! What wonderful news for you family.
|
Posted 10/29/05 2:31 PM |
| |
|
aliciahelene
LIF Infant

Member since 8/05 180 total posts
Name: Alicia
|
Re: It's TWINS!
Congratulations!!!
|
Posted 10/30/05 2:25 PM |
| |
|
Jenziba
?
Member since 5/05 6265 total posts
Name: Jennifer
|
Re: It's TWINS!
Congrats! That's wonderful news!!!!!!!!
|
Posted 10/30/05 4:58 PM |
| |
|
GenLCSW
Baby # 3 is here!!!

Member since 7/05 21138 total posts
Name: Genna
|
Re: It's TWINS!
CONGRATULATIONS!!!!
|
Posted 10/31/05 8:51 AM |
| |
|
dengal
Dad of Twins

Member since 5/05 1385 total posts
Name: The 80's Man Let's Go Mets!
|
Re: It's TWINS!
Congrads! They are in for a ride!
|
Posted 11/1/05 7:02 AM |
| |
|
Bran-loves-Tom
Dad you finally did it!!!

Member since 10/05 1714 total posts
Name: Brandy
|
Re: It's TWINS!
Congrats!!!! That is wonderful!!!
|
Posted 11/2/05 12:11 PM |
| |
|
puppylove
LIF Adolescent

Member since 10/05 561 total posts
Name: Summer
|
Re: It's TWINS!
Oh, my gosh!!! That is soooo great!! I would love to have twins! Congrats for them and your whole family!!
|
Posted 11/2/05 3:09 PM |
| |
|
Crazeddiva
LIF Adolescent
Member since 5/05 588 total posts
Name: Maddy
|
Re: It's TWINS!
How exciting. Good luck to you and your family.
|
Posted 11/2/05 3:15 PM |
| |
|
Tracey
***********
Member since 5/05 6297 total posts
Name: Tracey - brideinapril
|
Re: It's TWINS!
Congratulations to you and your family!!!! Twins is a wonderful thing!!!!
|
Posted 11/4/05 7:41 PM |
| |
|
|
|
Re: It's TWINS!
WOW!!!! Thats great!! Congrats Auntie!!!!
|
Posted 11/6/05 2:41 AM |
| |
|
pugmoma
LIF Zygote
Member since 1/06 7 total posts
Name: Bethann
|
Re: It's TWINS!
Congrats! What a beautiful picture!
I have 2 year old twin daughters and it is amazing!
|
Posted 1/3/06 5:33 AM |
| |
|
skew
LIF Adult

Member since 5/05 6794 total posts
Name:
|
Re: It's TWINS!
great news, congrats!
|
Posted 1/3/06 9:13 AM |
| |
|
nrthshgrl
It goes fast. Pay attention.

Member since 7/05 57538 total posts
Name:
|
Re: It's TWINS!
CONGRATULATIONS!!! Great news for your whole entire family!
|
Posted 1/3/06 9:25 AM |
| |
|
NoStressMom
My Heart and Soul

Member since 5/05 11122 total posts
Name: D
|
Re: It's TWINS!
What great news!!
|
Posted 1/3/06 3:27 PM |
| |
|
CAJ
woulda, coulda, shoulda

Member since 12/05 3366 total posts
Name: CJ
|
Re: It's TWINS!
Congrats! better them than me.....
Message edited 1/3/2006 4:11:51 PM.
|
Posted 1/3/06 4:11 PM |
| |
|
| Pages: [1] 2 |