| Posted By |
Message |
JamieW
LIF Toddler

Member since 7/05 471 total posts
Name: Jamie
|
gender at 6 weeks?
Has anyone seen this article from the stir? I wonder if there is any truth to it. thoughts?
Know the sex of your baby from 6 week sono
|
Posted 2/19/13 1:30 PM |
| |
|
Long Island Weddings
Long Island's Largest Bridal Resource |
|
|
gender at 6 weeks?
Can we conduct our own study here? I'm DEF going to ask my doctor next sono what side my plancenta is on. I will let you guys know...
|
Posted 2/19/13 1:35 PM |
| |
|
TyReseGreen
Lil Prince is here

Member since 8/11 6338 total posts
Name: Theresa
|
gender at 6 weeks?
Interesting....when I go back to my RE Thursday I'm gonna ask(just for fun)!
|
Posted 2/19/13 1:39 PM |
| |
|
mnm918
LIF Adult

Member since 10/10 1209 total posts
Name: Michele
|
gender at 6 weeks?
interesting!! I know I ovulated from my left ovary but not sure where the placenta is? How can you tell?
|
Posted 2/19/13 1:40 PM |
| |
|
Kitten1929
LIF Adult
Member since 1/13 6040 total posts
Name:
|
gender at 6 weeks?
Hmm, very interesting! I have no idea which side I ovulated from...
|
Posted 2/19/13 1:45 PM |
| |
|
gdubs
This baby is awesome!

Member since 11/10 2467 total posts
Name: Gina
|
gender at 6 weeks?
Mine is on the right and I'm having a boy!
|
Posted 2/19/13 1:50 PM |
| |
|
mnm918
LIF Adult

Member since 10/10 1209 total posts
Name: Michele
|
Re: gender at 6 weeks?
Posted by Kitten1929
Hmm, very interesting! I have no idea which side I ovulated from...
So the side you ovulated from is the same side your placenta is on?
|
Posted 2/19/13 1:56 PM |
| |
|
stinenandy2010
LIF Infant

Member since 5/10 91 total posts
Name: Christine
|
Re: gender at 6 weeks?
Mine is on the right and I am having two girls....
|
Posted 2/19/13 2:11 PM |
| |
|
seeinstarz
LIF Toddler
Member since 1/08 382 total posts
Name:
|
Re: gender at 6 weeks?
The only problem with this therory is that the placenta is not even visible at 6 weeks! I just had a sono at 7 weeks and you couldn't even see it.
|
Posted 2/19/13 2:55 PM |
| |
|
DaniJude
You're My Home <3
Member since 11/06 14815 total posts
Name: Danielle
|
Re: gender at 6 weeks?
Posted by mnm918
interesting!! I know I ovulated from my left ovary but not sure where the placenta is? How can you tell?
Yeah so did I... which is odd because my life is so right-oriented in every other way
|
Posted 2/19/13 4:21 PM |
| |
|
TyReseGreen
Lil Prince is here

Member since 8/11 6338 total posts
Name: Theresa
|
Re: gender at 6 weeks?
Posted by seeinstarz
The only problem with this therory is that the placenta is not even visible at 6 weeks! I just had a sono at 7 weeks and you couldn't even see it.
At my 6 week sonogram last week we saw the placenta it's just becoming visible on the sono but the tech pointed it out.
|
Posted 2/19/13 4:22 PM |
| |
|
DaniJude
You're My Home <3
Member since 11/06 14815 total posts
Name: Danielle
|
Re: gender at 6 weeks?
This is the part of the article that confuses me:
"Apparently if your first ultrasound was transabdominal, the image is flipped, so you'd reverse the sides."
It's like is it left or right or what?
|
Posted 2/19/13 4:24 PM |
| |
|
neener1211
:-)

Member since 4/07 22952 total posts
Name: J
|
Re: gender at 6 weeks?
I can't tell what anything is other than the baby.
|
Posted 2/19/13 4:26 PM |
| |
|
MommaDina
LIF Infant

Member since 8/12 315 total posts
Name: DinaMarie
|
Re: gender at 6 weeks?
lol it is right for me .. i'm having a boy and my 7 week sonogram shows the placenta on the top right!
|
Posted 2/19/13 4:27 PM |
| |
|
SurpriseNo3
LIF Infant

Member since 1/13 163 total posts
Name: Booger
|
Re: gender at 6 weeks?
Posted by DaniRella
This is the part of the article that confuses me:
"Apparently if your first ultrasound was transabdominal, the image is flipped, so you'd reverse the sides."
It's like is it left or right or what?
Congratulations DAni!!!!! I didn't know you were pregnant!
I'm going to the doc tomorrow- gonna ask him about this!
Message edited 2/20/2013 11:14:56 AM.
|
Posted 2/20/13 11:14 AM |
| |
|
Pray4Baby2010
<3 Cutest Giants Fan

Member since 10/09 5796 total posts
Name: MB
|
Re: gender at 6 weeks?
Posted by neener1211
I can't tell what anything is other than the baby.
I could barely figure that out at 6 weeks!
|
Posted 2/20/13 11:53 AM |
| |
|
maybebaby
LIF Adult

Member since 11/05 6870 total posts
Name: Maureen
|
Re: gender at 6 weeks?
On all three of my ultrasounds the yolk sac (which becomes the placenta, right?) is on the right. However, they say its a reverse image b/c its transvaginal...sooo that would be 3 that are wrong for me, lol
|
Posted 2/20/13 12:03 PM |
| |
|
DaniJude
You're My Home <3
Member since 11/06 14815 total posts
Name: Danielle
|
Re: gender at 6 weeks?
Posted by SurpriseNo3
Congratulations DAni!!!!! I didn't know you were pregnant!
I'm going to the doc tomorrow- gonna ask him about this!
Thank you
|
Posted 2/20/13 12:37 PM |
| |
|
JamieW
LIF Toddler

Member since 7/05 471 total posts
Name: Jamie
|
Re: gender at 6 weeks?
Posted by maybebaby
On all three of my ultrasounds the yolk sac (which becomes the placenta, right?) is on the right. However, they say its a reverse image b/c its transvaginal...sooo that would be 3 that are wrong for me, lol
no, its only reverse if it transabdominal. So it is correct.
|
Posted 2/20/13 12:59 PM |
| |
|
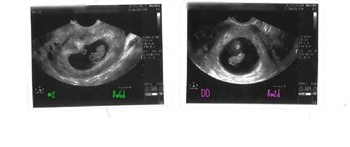
ItsaJoya19
my cup runneth over

Member since 1/10 2949 total posts
Name: E
|
Re: gender at 6 weeks?
Hmmm...very interesting....
With #1(DD) Yolk sac was on the left side at 8w2d
With #2( ) Yolk sac is on the left side at 8w6d
Here is a pic comparison:
|
Posted 2/20/13 2:07 PM |
| |
|
maybebaby
LIF Adult

Member since 11/05 6870 total posts
Name: Maureen
|
Re: gender at 6 weeks?
This was a comment on the article and most of the other sonographers who comments said the same thing...however i still find it a fun thing to consider! But what they're saying makes complete sense. I wouldn't even know how gender one way or another would have a thing to do with position of placenta...
I am a sonographer and this is bogus. First at 6 wks the placenta has not even formed yet. The fetus is still using a yolk sac for nutrients. Second, depending on the angle I use while scanning it is possible to make the placenta look on either side. So just looking at ur ultrasound pictures will not tell u which side it is on. The sonographer would have to tell u during ur scan which side it is on. But the only thing that is important to us is the position compares to cervix. Ladies, don't give ur selves false hope. Just b happy they r healthy!
In response to the comment a transvaginal ultrasound causing a miscarriage, impossible. U were probably already having problems, hence, the doc ordered an ultrasound, and just so happened u miscarried right after. Transvaginal is very safe and by far the best exam to get good pictures. The difference is looking 15 cm deep to 2 cm deep. You b the judge. Which would get better detail.
|
Posted 2/20/13 2:33 PM |
| |
|
DitD
LIF Adolescent
Member since 1/12 650 total posts
Name:
|
Re: gender at 6 weeks?
Supposedly this is only accurate at the very beginning of pregnancy, and as your pregnancy progresses the placenta migrates and attaches. I have actually conversed with the Dr. who did this study. Really it should only be determined by the sonographer because they can flip the images on you.
That being said I have asked multiple doctors and multiple sonographers about this very topic and all of them have said it hold no merit at all.
But it is fun as an old wives tale.
|
Posted 2/20/13 5:00 PM |
| |
|
DitD
LIF Adolescent
Member since 1/12 650 total posts
Name:
|
Re: gender at 6 weeks?
Posted by Kitten1929
Hmm, very interesting! I have no idea which side I ovulated from...
The side you ovulate makes no difference when it comes to implantation and what side the placenta is on
|
Posted 2/20/13 5:03 PM |
| |
|
FlowerWife
Positive Vibrations...

Member since 1/08 8423 total posts
Name:
|
gender at 6 weeks?
interesting study - but what about anterior placenta? technically not the left or the right side..wonder what the theory is on that..
|
Posted 2/20/13 9:18 PM |
| |
|
|
|
Re: gender at 6 weeks?
My BFF is an ultrasound tech and she scanned me last night. I just asked what side my placenta is on and she told me the left side. We are team so I have a long time before I find out if this was true for me or not.
|
Posted 2/20/13 9:21 PM |
| |
|