|
| Posted By |
Message |
robcoll1002
My Beautiful Babies

Member since 5/05 2073 total posts
Name: Colleen
|
Anyone have a pic..
of what there 8 week sono looked like? I go for mine and was wondering how different it looks from the 7 week.
Message edited 1/2/2006 5:59:54 PM.
|
Posted 1/2/06 5:58 PM |
| |
|
Long Island Weddings
Long Island's Largest Bridal Resource |
pnm1654
Mommy to 2 boys!
Member since 5/05 4565 total posts
Name:
|
Re: Anyone have a pic..
Here you go:
|
Posted 1/2/06 6:59 PM |
| |
|
Moehick
Ready for the sun!

Member since 5/05 30339 total posts
Name: Properly perfect™
|
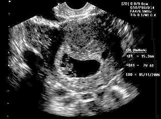
Re: Anyone have a pic..
This was mine....
|
Posted 1/2/06 7:55 PM |
| |
|
robcoll1002
My Beautiful Babies

Member since 5/05 2073 total posts
Name: Colleen
|
Re: Anyone have a pic..
Thanks Girls! I can't believe it's going to be that much dufferent from my 7 week sono. The 7 week sono was so small you could barely see anything.
|
Posted 1/3/06 7:23 AM |
| |
|
MrsJ
I love my Katie Bug

Member since 5/05 11357 total posts
Name: Kathy
|
Re: Anyone have a pic..
Here is mine at 8 wks 2 days Image Attachment(s):
|
Posted 1/3/06 9:36 AM |
| |
|
Potentially Related Topics:
Currently 387293 users on the LIFamilies.com Chat
|